


021-54286005

全球医疗领域的新挑战
高端超声诊断系统表现出未有的进步,它能够帮助不堪重负的医院和卫生保健系统减轻压力,后者正面临高效的提供高质量服务的挑战。我们的目标是在第一时间内作出快速、准确的诊断。如今的高端超声诊断系统必须能从每次扫描中获取更多的临床信息,让检查过程更迅速、更连贯以及更轻松,即时面对成像困难患者,也能帮助医生提高诊断准确性。

全球超声诊断系统的主要趋势:
• 不断寻找完善的医疗保健解决方案以高效快捷的提供优质的医疗服务
• 超声心动图检查正在逐年增加(来源:成贯仪器)
• 作为诊断工具,超声心动图正越来越多地被使用,因此,越来越多的患者被转诊到超声心动图室作进一步诊断治疗





开启心血管超声新纪元
这款超声系统是目前功能大的心血管超声成像设备——它具备超声信息采集、处理的全部功能,让您真正体验到超声技术的飞速进步。此外, 它还支持纯净波xMATRIX系列探头和前沿的解剖智能(Anatomical Intelligence)技术,为您呈现出色的性能。

品质传奇
EPIQ 7C代表了高端超声诊断系统的全新发展方向,具有高适用的临床性能,满足当今苛刻的临床要求。

飞利浦nSight—飞利浦的超声系统架构
飞利浦的nSIGHT架构,使声束在发射和接收各个方面的表现均得以大幅度提升,让您真正体验超声更加清晰成像模式的进化。(来源:成贯仪器)
nSIGHT架构,体验像素级分辨率
飞利浦nSIGHT成像架构引入了一种获得超声图像的全新方法。传统系统以行作为成像单元,而nSIGHT以像素为成像单元以创建具有高分辨率的图像 。
nSIGHT—全像素聚焦
nSIGHT架构结合了全新的集束精准发射和海量并行处理技术,采集大规模完整的原始声学数据,实时精准优化全场像素级聚焦,使图像达到像素级分辨率。

打破旧常规,创建心传奇
nSIGHT打破常规超声的旧规则以实现临床品质的新水平。
| 常规一: | 您必须在帧频和图像品质之间抉择 | |
nSIGHT增加了一倍以上的帧率* | 通过集束精准发射和海量并行处理技术,同时 保证近乎完美的帧频和图像品质,首次打破了 常规架构的传统局限。 | |
| 常规二: | 您必须精确地设置焦点区域,才能实现高的图像清晰度 | |
分辨率仅限 于聚焦区域 |
有效优化声束发射及接收的均匀性 | 现在,通过连续地在所有深度和像素级水平 下动态计算发射和接收聚焦,您可以 体验直至皮肤的卓越的组织均匀度,克服了 常规发射聚焦的局限性。 |
| 常规三: | 您无法回避减低组织信号的穿透局限性和敏感性 | |
nSIGHT表现 |
X5-1纯净波矩阵探头 对成年患者精湛的穿透力和分辨率 | 超宽的动态范围和声束优化技术,在 强化更深部组织信息的同时减低噪声,即使 成像困难患者也能实现超常对比分辨率的细 节可视化和更高频率下更优异的穿透力。 |
* 需使用探头,应用程序和TSI
图像质量:数字体现差异
与传统高端超声系统对比,EPIQ 7C显示出成像性能上的突破性优势:
• 超声穿透力提高达30%(来源:成贯仪器)
(超声穿透力 = 在分辨率满足临床诊断要求的条件下,超声的深度扫描能力)
• 轴向分辨率提高达15%(提高了整个深度范围下的图像分辨率)
• 保持帧频速率的同时增强各项性能
* 需使用探头,应用程序和TSI

大限度地发挥
极致的临床性能
EPIQ7C革命性的nSIGHT架构使得飞利浦的先进纯净波技术和矩阵技术如虎添翼。
先进的多功能探头技术xMATRIX
EPIQ 7C高端超声系统支持全面的具创新性的探头。只需一键按钮xMATRIX即可提供单探头的全模式应用:二维,M型,彩色多普勒,多普勒,iRotate智能旋转,实时二维切面,实时三维,实时三维缩放,及全容积实时三维。
nSIGHT使得强大的xMATRIX技术如虎添翼
使用实时任意多平面xPLANE同时创建多个全像素分辨率平面,让您在同一时间获得多倍临床信息。在全容积成像内以立方体素的分辨率来显示任何平面的图像。现在,一切都成为可能。




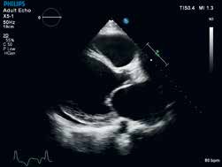
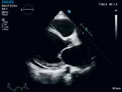
X5-1纯净波矩阵探头对二维、三维实时图像清晰度的体现。


纯净波矩阵探头还包括支持儿童三维成像的X7-2和支持3DTEE应用的X7-2t
nSIGHT增强了PureWave纯净波技术对成像困难患者的成像能力。
PureWave晶体技术代表了近40年来压电材料的大突破。纯净、均匀的PureWave晶体比传统的压电材料高效85%,从而实现了高的性能。该技术允许在困难患者中仅用单个探头即可达到增强的超声穿透力,实现优异的细节分辨率。所有xMATRIX探头均结合了PureWave技术。
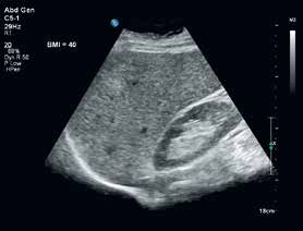
PureWave纯净波技术为成像困难患者的广泛应用提供了全新的解决方案,例如支持困难腹部和胎心成像患者的PureWaveC5-1探头。(来源:成贯仪器)



增强的PureWave技术显示卓越的腹部及胎心图像品质。
Q-App定量应用软件
EPIQ 7C提供了先进的Q-App应用为您提供全面的图像量化信息。

| Q-App | 临床应用 | 优势 | |
动脉内中膜 厚度 | 全自动动脉内中膜 厚度测量 | 快速便捷的获取动脉内中膜 的数据 | ![]() |
感兴趣区 定量 | 灰阶、造影 及彩色多普 勒定量 | 提取图像的声学测量 | ![]() |
应变(Strain) 定量 (Quantification) (SQ) | 从彩色组织多普勒 测量心肌速度 | 导出位移应变和应变率 | ![]() |
三维定量 (3DQ) | 显示、测量三维容 积及定量 | 双平面左室容积,射血分数(EF) 和左室质量计算 | ![]() |
三维定量分析 (3DQA) | 整体左室容积及定量 | 快速获取真实三维心功能评估及 同步性指数。 | ![]() |
联合影像
使用EPIQ 7C查询检索并查看多模态DICOM图像,如CT,核医学(NM),MRI,iXR,心脏X线和超声。轻松地比较过去和当前的检查,而无需使用外部读片工作站,甚至可实时浏览这些多模态图像。

多模态查询检索允许并排比较任何DICOM图像。
心脏介入实时导航
(EchoNavigator)
经食道三维超声心动图(3D TEE)通过数字网络连接到心脏介入实时导航(EchoNavigator)系统,从而使系统能够支持软组织结构的多个实时切面成像显示。这一功能让介入学家可以更好的了解解剖结构,让他们与超声心动图医师及麻醉师的沟通更容易。(来源:成贯仪器)
同时,心脏介入实时导航(EchoNavigator)为X线和实时经食道三维超声心动图(Live 3D TEE)之间的实时融合导航提供了自动配准和跟踪—所有步骤都可在操作台简单控制。

iXR和实时经食道三维超声心动图(Live 3D TEE)的实时融合。
旨在重塑用户体验
EPIQ 7C彻底重塑了超声用户的高端体验。易用性,工作流程,人体工程学,移动性......我们已经彻底改变了您与超声系统进行交互的每一个方面,并保持它的精美直观。
超过80%的超声诊断医生经历与工作相关的疼痛,其中超过20%遭受了导致职业生涯结束的伤害。EPIQ 7C提供了一个全新的界面,显著减少了按键接触与按压,操作接触减少达80%,操作步骤减少达15%。*

令人激动的移动性
EPIQ 7C重量仅106.5公斤,比传统高端超声系统轻40%。EPIQ 7C可在地毯和瓷砖、地板上轻松转运。睡眠模式,可在转移后系统瞬间启动。显示器可向下折叠,意在转运过程中降低系统的整体高度,整合的电缆挂钩和收线盘非常适合移动检查。无线DICOM进一步优化工作流程。**

智能的工作流程
平台采用了“随到随用”的易用性设计,这意味着用户只需要少量的培训即可进行操作。该系统提供了高度的自动化功能以提高整个检查的工作效率,如实时iSCAN(AutoSCAN持续自动优化),它自动连续优化增益和时间增益补偿(TGC),以确保在二维和实时三维中获得高清的图像。

类似平板电脑的触控界面,减少了80%的操作接触和15%的操作步骤,可快速导航到系统各项功能。
* 飞利浦EPIQ 7C和iE33超声系统的工程学对比研究。
** 检查您所在区域的可获得性。
1. 超声诊断医学学会,超声业界预防肌肉骨骼疾病行业标准,2003年5月
静如图书馆
EPIQ 7C运行时几乎无声。噪声测试确定EPIQ7C运行在37-41分贝,这相当于图书馆环境的声音。
扫描舒适度
控制面板和21.5英寸液晶显示器有多级接合,拥有720°调整自由度,无论坐姿还是站姿,都能确保符合人体工程学的扫描舒适度。
智能扫查专家(SmartExam)
智能扫描(SmartExam)使检查时间缩短30-50%,击键次数减少300次/检查,并在不同用户之间保持更高水平的一致性。
智能扫描(SmartExam)还可驱动Q-智能扫查专家的自动化处理,通过零点击(ZeroClick)算法,从而减少操作步骤,以执行更复杂的分析。
智能多普勒血管成像
智能多普勒将费时的彩色取样框定位和取样容积放置调整步骤从10步减少到3步,并使重复按键次数平均减少67.9%。

设置向导
设置向导使用户能够设置该系统,轻松建立用户配置,并得到快速运行。
21.5英寸(54.6厘米)的宽显示屏和微光照明视觉增强的键盘,即使在黑暗环境下检查,也能方便观察和高效操作。四个可激活微型探头接口减少了扫查中所需的探头插拔次数。

AIUS图像转成答案的智慧
EPIQ 7C是有史以来具智慧的高端超声系统,它加入人体解剖结构数据模型,使超声第一次了解心脏的真实解剖结构并主动进行智能分析,大大减少人工依赖,提高可重复性。
AIUS是EPIQ 7C智慧的核心
比以往任何时候都更多的数据,使您需要工具来简化和加快流程,以获取可再现数据并将其转化为对患者有价值的信息。
功能强大的EPIQ 7C架构的核心是我们飞利浦的AIUS(解剖智能超声),旨在将被动的超声系统提升为主动的智能诊断装置。
具有解剖结构自动识别,自动化功能协议,以及成熟的量化工具,使检查更容易执行,更具有可重复性,提供更高水平的临床信息。
使用内置模式驱动检查的简化
AIUS(解剖智能超声)和从多模态图像中获取的器官模型数据库一起创建了一个平台,在这一平台上,来自单一检查的信息可订制成患者特有的器官模型或感兴趣区,以更少的时间、培训和操作复杂性产生更有价值的信息。
复杂的模型利用在各种条件下采集的大样本患者的特征数据来将特定的图库形状调整到患者的个体器官。AIUS(解剖智能超声)包括从自动化重复步骤到只需少量用户交互的成熟计算机驱动的分析-全部采用解剖智能,全面提供您所需要 的结果。事实上,我们的许多工具都应用了零触控(ZeroClick)技术,*这意味着,一旦加载,该工具为您自动完成所有步骤。
加强xMATRIX经食管超声心动图(TEE)在介入超声应用中的功能
EPIQ 7C和飞利浦Allura Xper X线系统创造了一个强大组合,新的心脏介入实时导航(EchoNavigator)功能使介入套件的效率达到新的水平。心脏介入实时导航(EchoNavigator)通过解剖数据数字化链接超声和透视图像。这两个当前图像都连续排列显示,即使其中一个图像被旋转。
自动操作(Automation)
自动心功能分析(a2DQA.I.)及零触控(ZeroClick)技术作为每一个超声检查室的理想工具,自动二维定量与零触控(ZeroClick)技术采用AIUS(解剖智能超声)自动获取感兴趣区(Auto-ROI),以驱动Q-App应用程序并提供对射血分数和容积数据的快速获得。检查中可采用自动射血分数(AutoEF),加快日常的超声检查流程。

自动心功能分析定量(a2DQA.I. )及零触控(ZeroClick)技术为您所有的病人完成快速、重复性高的射血分数测量。
自动心肌运动定量( aCMQA.I.) 及零触控(ZeroClick)技术
具备零触控(ZeroClick)技术的自动心肌运动定量利用斑点追踪技术来提供重复性高的整体长轴应变(GLS)数据。该技术也支持儿童的心脏检查数据。

具备零触控(ZeroClick)技术的自动心肌定量(aCMQA.I.)从相同的二维图像提供射血分数EF和整体长轴应变。
导航
二尖瓣导航 (MVNA.I.)
二尖瓣导航(MVNA.I.)是旨在获得二尖瓣实时三维容积并通过八个引导下的步骤将其转化为易于解读的模型,提供二尖瓣测量和计算的全面列表。跟以往的工具相比,二尖瓣导航建模和测量减少了89%的点击次数。
二尖瓣导航 (MVNA.I.)在处理过程的每一部分中减少步骤:
• 瓣环数据的获取减少了74%的点击,同时在无用户交互的情况下提供了自动瓣叶描记。
• 二尖瓣导航(MVNA.I.)使用简单的指令和清晰的图形来引导整个处理过程,使之比以前的二尖瓣量化工具更容易使用。
• 二尖瓣导航(MVNA.I.)的结果完成时可在屏幕显示,加速访问所需数据的过程。

二尖瓣导航(MVNA.I.)获取二尖瓣的实时三维容积,并在短短的8个引导步骤下将之转化易于解读的模型。
系统尺寸 | • 宽度: | 60.9 cm (23.9 in) |
• 高度: | 146 cm 到 171.5 cm (57.5 in 到 67.5 in) | |
• 深度: | 最大延伸时,深度为 109.2 cm (43 in) | |
• 重量: | 无外围设备时 104.3 kg (230 lb) | |
显示 | 灰度 | 2D、M 模式和多普勒下为 256 |
扫描线 | 最多 1,024 条扫描线,具体取决于探头和模式 | |
显示器 | • 54.6 cm (21.5 in) 宽高分辨率平板 LCD (TFT/IPS) 显示器 | |
| • 54.9 cm (21.6 in) 宽高分辨率平板 OLED 显示器 | ||
| • 61 cm (24 in) 宽高分辨率平板 LCD (TFT/IPS) 显示器 | ||
连接 | 输入信号 | • 四个探头插孔(来源:成贯仪器) |
• 高电平和低电平 ECG | ||
• 用于 DVD 录像机语音录制的麦克风 | ||
• 笔式探头插孔 | ||
• 生理信号脉冲、心音、辅助 1 和辅助 2 | ||
输出信号 | • 外置式打印机 | |
• 生理信号模拟信号 | ||
• USB 串行数据 | ||
• 视频:S-Video 及数字显示端口 | ||
数据连接 | • 数字导航链接 (DNL) | |
• 以太网(千兆以太网、10Base-T 和 100Base-T) | ||
• USB 2.0 设备或采用 USB 2.0 速度的 USB 3.0 设备 | ||
• 无线网络 (IEEE 802.11 a/b/g/n/ac) | ||
生理信号 | • ECG 振幅范围:0.15 mV 至 5.0 mV | |
• QRS 波的持续时间:40 毫秒至 120 毫秒 | ||
• 下截止频率:0.70 Hz ±10% | ||
• 上截止频率:17 Hz ±10% | ||
• 常规输入振幅:±5 mV 峰值 | ||
• 最小 QRS 波振幅:0.05 mV | ||
外围设备 | • 黑白图像打印机 | |
• 彩色图像打印机 | ||
• DVD 录像机 | ||
• 外部显示器 | ||
• 脚踏开关 | ||
• 报告打印机 | ||
电气参数 | • 电压: | 220 Vac、50 或 60 Hz |
• 功耗: | 600 VA |
必须通过接地插座供电。