


021-54286005
超声心动图的下一个维度
飞利浦 EPIQ CVx 和 CVxi 是我们高端心脏超声系统,基于我们创新、模块化超声平台打造,拥有人工智能功能和先进的诊断解决方案,助您突破当前的复杂局面,将超声心动图技术推向新的高度。这使您能够实现更高的一致性、更便捷的创新、更智能的工作流程和更轻松的可扩展性。

人工智能支持的一致性
为常规和专业成像需求提供标准化结果
具有人工智能和自动化功能的 EPIQ CVx 有助于确保在扫描过程中获得一致的图像采集和解释,从而获得标准化的结果。
EchoNavigator
实时超声心动图与X射线融合

超声工作区/心血管工作区*

更高效的诊断
借助 AI-based 的自动化和量化工具,超声心动图医师可以自信地提供具有更高一致性、先进创新、高效自动化和无缝连接系统的诊断。(来源:成贯仪器)
让您在护理方面保持优势
EPIQ CVx 提供 AI-integrated的工作流程,涵盖常规和专科手术,所有流程均基于一个熟悉的行业优势平台,让您轻松掌握,并传承值得信赖的卓越品质。强大的工具和AI-based 的技术,助您在心血管医学领域保持优势地位,以更多方式为更多患者提供更优质的医疗服务。

创新
在日常和复杂病例中获得更大的临床信心EPIQ CVx 提供强大的工具和AI-based的技术,帮助您管理复杂的临床诊疗,从而以更多方式为更多患者提供更优质的诊疗服务。该系统提供增强的高清图像质量,并配备 AI-assisted和工具,可实现自动化和量化。

新的、先进的测量方法
借助AI-based的新功能和先进的自动化技术(例如我们的 3D 自动三尖瓣和彩色流量量化工
具),您可以实现更高的可重复性和更智能的工作流程,这样您的团队就可以减少在琐碎任
务上花费的时间,而将更多的时间花在挽救生命上。(来源:成贯仪器)
现配备 2D 自动 EF 和中间层应变 Advances 的进步之处在于,它能够在同一应用程序中提供快速、可重复的结果,作为全面 LV 评估的一部分,从而改善工作流程并节省时间。 | ![]() 自动节段性室壁运动评分* 在标准 17 段靶心显示屏上自动评估壁运动,以帮助客观评估 LV 壁。 |
![]() 3D 自动彩色血流定量* 提供 AI 来快速、简单且可重复地测量二尖瓣反流 (MR) 体积,以帮助评估 MR 严重程度。 | ![]() 3D 自动三尖瓣定量* 人工智能通过精确的术中TV环测量(初始尺寸确定和CT计划)帮助确认/重新评估设备尺寸/选择。 |
局限性
每天,您都努力获取患者心脏的完整一致可视化图像,却面临诸多限制。图像质量低、帧率低、访问受限、手动调整尺寸以及实时性挑战,这些都阻碍着您的诊断和治疗。但情况并非一定如此。(来源:成贯仪器)
简化日常和复杂案例
通过重复、单调任务的自动化和人工智能驱动的功能,获得更大的临床信心并支持更高效的程序和更少的手动步骤。
很合适
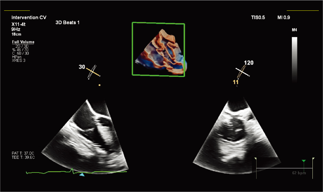
尖端宽度减小35%
10适用于狭窄空间和复杂情况I使用全新 X11-4t 迷你 3D TEE 探头¹¹*,扩大 3D TEE 的应用范围。这款探头非常适合体型最小、体弱的患者,可扩大对儿科和成人患者的扫描范围。高效地执行手术,提高患者舒适度。X11-4t 探头与飞利浦创新产品组合集成,可与 VeriSight Pro 3D ICE** 在图像引导治疗中互补。
![]()
清晰、优质的 3D TEE 图像。



更精准地服务更多患者
除了 3D 自动三尖瓣和彩色流量量化工具外,您还可以体验 X8-2t TEE 探头和VeriSight Pro 3D ICE 大幅提升的性能.*

X8-2t TEE 探头
现在采用 nSight Plus 来提高 MPR IQ并更好地可视化流动动力学.

VeriSight Pro 3D ICE图像增强
改进的 3D 色彩支持介入手术的卓越性。

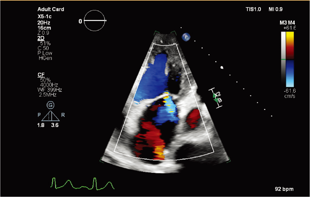
X5-1c探头
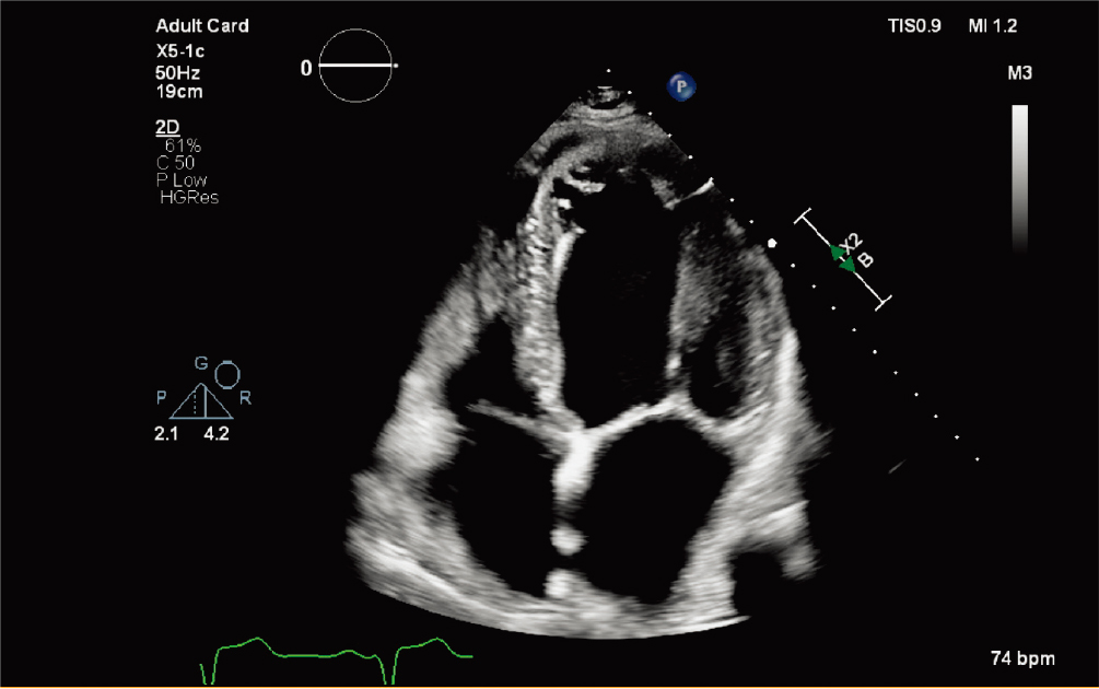
X5-1c 探头配备 nSight Plus,有助于优化 TTE 成像 |
X5-1c 探头肋下 xPlane 肺动脉图像 |
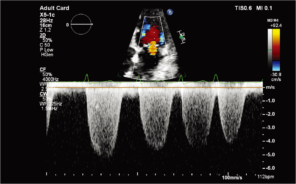
X5-1c 探头彩色多普勒二尖瓣返流(MR) |
X5-1c 磁共振 CW 多普勒探头 |
X5-1c t探头的动态心脏模型 |
X5-1c 探头进行自动节段性室壁运动评分指数 |
X11-4t 探头
X11-4t 探头进行儿科左心耳评估 |
X11-4t 探头和 TrueVue 进行瓣下膜检查 |
X11-4t 探头和 TrueVue Glass 进行三尖瓣 MPR 成像。 |
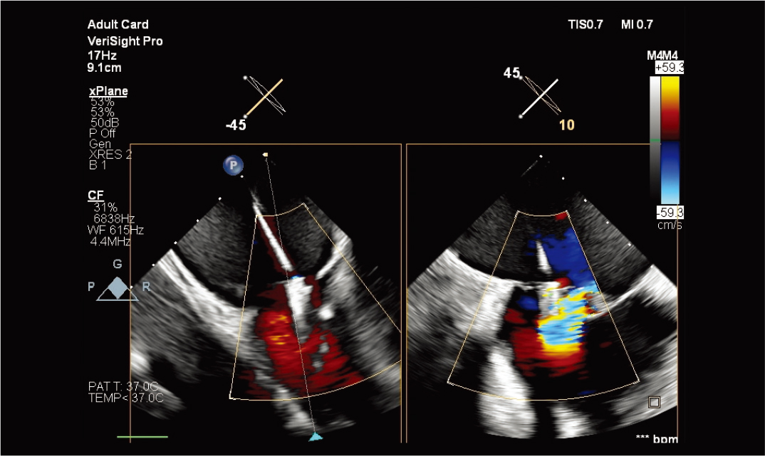
使用 VeriSight Pro 进行 xPlane 成像 |
X11-4t 探头的儿科 3D 彩色 |
主动脉瓣的 MPR 视图和 TrueVue 容积 |
系统尺寸 | • 宽度: | 60.9 cm (23.9 in) |
• 高度: | 146 cm 到 171.5 cm (57.5 in 到 67.5 in) | |
• 深度: | 最大延伸时,深度为 109.2 cm (43 in) | |
• 重量: | 无外围设备时 104.3 kg (230 lb) | |
显示 | 灰度 | 2D、M 模式和多普勒下为 256 |
扫描线 | 最多 1,024 条扫描线,具体取决于探头和模式 | |
显示器 | • 54.6 cm (21.5 in) 宽高分辨率平板 LCD (TFT/IPS) 显示器 | |
| • 54.9 cm (21.6 in) 宽高分辨率平板 OLED 显示器 | ||
| • 61 cm (24 in) 宽高分辨率平板 LCD (TFT/IPS) 显示器 | ||
连接 | 输入信号 | • 四个探头插孔(来源:成贯仪器) |
• 高电平和低电平 ECG | ||
• 用于 DVD 录像机语音录制的麦克风 | ||
• 笔式探头插孔 | ||
• 生理信号脉冲、心音、辅助 1 和辅助 2 | ||
输出信号 | • 外置式打印机 | |
• 生理信号模拟信号 | ||
• USB 串行数据 | ||
• 视频:S-Video 及数字显示端口 | ||
数据连接 | • 数字导航链接 (DNL) | |
• 以太网(千兆以太网、10Base-T 和 100Base-T) | ||
• USB 2.0 设备或采用 USB 2.0 速度的 USB 3.0 设备 | ||
• 无线网络 (IEEE 802.11 a/b/g/n/ac) | ||
生理信号 | • ECG 振幅范围:0.15 mV 至 5.0 mV | |
• QRS 波的持续时间:40 毫秒至 120 毫秒 | ||
• 下截止频率:0.70 Hz ±10% | ||
• 上截止频率:17 Hz ±10% | ||
• 常规输入振幅:±5 mV 峰值 | ||
• 最小 QRS 波振幅:0.05 mV | ||
外围设备 | • 黑白图像打印机 | |
• 彩色图像打印机 | ||
• DVD 录像机 | ||
• 外部显示器 | ||
• 脚踏开关 | ||
• 报告打印机 | ||
电气参数 | • 电压: | 100-240 Vac、50 或 60 Hz |
• 功耗: | 600 VA |
必须通过接地插座供电。