


021-54286005
电子支气管镜BF-1TQ170
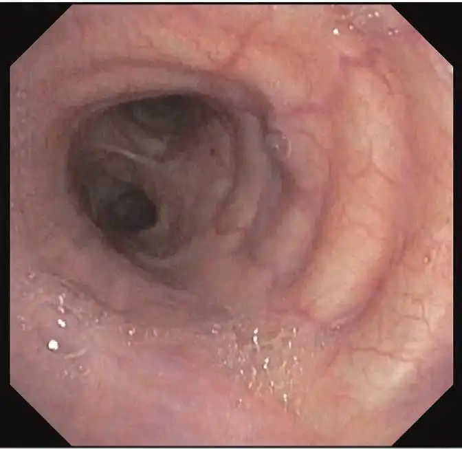
高图像质量的治疗型支气管镜和一个2.8mm的器械通道
主要特点
出色的图像质量
高分辨率的图像质量
NBI(窄带成像)
NBI是一种光学图像增强技术,可改善粘膜表面血管的可视化
更广泛的治疗设备能力
2.8mm大的器械通道直径,使得2.8mm通道出口可以使用各种类型的EndoTherapy设备。这与以前的支气管镜BF-1T150*相比,适用于2.6mm或更小的EndoTherapy设备。
*OLYMPUS BF-T150支气管镜
防水连接器
新设计的连接器完全潜入水中,因此不需要防水帽,同时大限度地减少意外浸入造成损坏的风险。
技术参数
型号 | BF-1TQ170 | |
光学系统 | 视野 | 120° |
视图方向 | 前视 | |
景深 | 3-100 mm | |
图像质量 | Q-image | |
插入管 | 末端外径 | 5.9 mm |
插入管外径 | 6.0 mm | |
工作长度 | 600 mm | |
器械通道 | 通道内径 | 2.8 mm |
最小可见距离 | 距离末端3.0 mm | |
弯曲部分 | 角度范围 | 上180°/下130° |