


021-54286005
EVIS EUS超声内镜图像处理装置
EU-ME2
开启超声内镜检查的新未来
高品质、一体式超声内镜图像处理装置EU-ME2可与奥林巴斯消化及呼吸领域的超声内镜设备配套使用,组成一站式内镜系统。EU-ME2具备的高分辨率和高清画质,可实现真正的高清晰EUS和EBUS手术观察,有助于更好地检出和定性诊断病灶。弹性成像模式等新功能开启了超声内镜检查的新未来。
B模式
B模式画质明显改善,可更有效的定位病变,并更准确的确认病变特性及边界范围。清晰的图像有助于EUS-FNA(内镜超声引导下细针穿刺活检术)中准确的穿刺和吸引,利于开展有效的治疗方案。
电子环形扫描
电子凸阵扫描(EUS-FNA)
电子凸阵扫描(EBUS-TBNA)*
组织谐波(THE)模式
超声波穿过组织时将发生扭曲,并产生谐波分量。THE 模式利用这些分量来构建目标区域的图像。谐波成像的优势包括提高分辨率,改善信噪比,以及减少伪像。


THE-P THE-P


THE-R THE-R
脉冲波多普勒(PW)模式
脉冲多普勒可在指定位置测量血流速率,同时显示横截面图像,以确定目标血管。
H-FLOW模式
H-FLOW模式对于显示内镜先端周边的细小血管尤其有用,并有助于避开血管,在EUS-FNA/EBUS-TBNA 中进行准确操控。
造影谐波EUS(CH-EUS)模式
CH-EUS模式采用谐波描出技术,可提示医生判断病变及其它异常生长。
可兼容多种超声内镜/ 超声支气管镜和探头
EU-ME2将电子扫描和机械扫描集于一体,可兼容奥林巴斯多种超声内镜和小探头,提供超声内镜成像应用。
独立监视器和独立键盘
EU-ME2配备了界面友好的键盘,带触摸板和轨迹球。画中画功能为标准配置,可在一个监视器画面上同时显示内镜图像和超声图像。
简约型设计
EU-ME2的设计为您的内镜室节约空间。作为奥林巴斯EVIS内镜手术系统的必要组成部分,EU-ME2可轻松放置于内镜台车中,留出空间摆放其它所需设备。
支持支气管超声内镜检查
EU-ME2支持多种超声支气管镜操作技术,如超声支气管镜引导鞘管引导下经支气管活检术。
通过小探头的探查将引导鞘管置于目标病变周围,可轻松实施细胞学刷检。抽出小探头后,通过引导鞘管推进取样器械,可提高操作准确度并缩短检查时间。
临床实例
以下为EU-ME2 配备多种超声内镜使用的临床实例。EU-ME2 功能改善后具备的高性能,独特的新功能所提供的更多用途,以及超声内镜检查专门设计的高效性,将开启超声内镜检查的新未来。
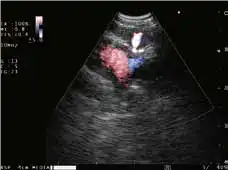
与凸阵扫描超声内镜配套使用


THE-P模式 POWER FLOW模式 COLOR FLOW模式

H-FLOW模式 ELST模式
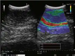
与电子环扫超声内镜配套使用


COLOR FLOW模式 THE-R模式 ELST模式
与凸阵扫描超声支气管镜配套使用


B-模式 H-FLOW模式 ELST模式
EVIS EUS超声内镜图像处理装置
EU-ME2 PREMIER PLUS
EU-ME2
规格
电源 | 电压 | 220 – 240 V AC | |
电压波动 | ±10%以内 | ||
频率 | 50/60 Hz | ||
频率波动 | ±1%以内 | ||
耗电量 | 370 VA | ||
大小 | 尺寸 | 主机 (宽)*(高)*(深) | 371×175×480mm 445×184×495mm(最大) |
键盘 (宽)*(高)*(深) | 392×39×207mm | ||
重量 | 主机 | 22.5 kg | |
键盘 | 2.5 kg | ||
类别 | 防电击保护类别 | I类 | |
应用部件对电击的防护程度 | BF型,没有分类标识出现,设备为BF型应用部件 | ||
防爆保护级别 | 超声内镜图像处理装置应该远离可燃气体。 | ||
BF 型应用部件 | 本设备可以安全地应用于除心脏以外的任何部位。 | ||
EMC | 本设备符合以下所列标准: IEC 60601-1-2:2001 IEC 60601-2-37:2007 CISPR11:1组,B级 | ||
超声扫描模式 | 机械扫描,电子扫描 | ||
机械扫描 | 显示模式 | B模式 | |
扫描 | 环形扫描 | ||
配套设备 | 机械环扫超声内镜,小探头 | ||
可用频率 | C5,C7.5,C12,C20,7.5,12,20 MHz | ||
显示范围 | 2,3,4,6,9,12 cm | ||
图像调节 | 增益,对比度,STC,增强 | ||
显示处理 | 旋转 | 可旋转 | |
显示区域 | 全圆显示,下半圆显示,上半圆显示,滚动 | ||
方向 | 正常/倒转 | ||
图像存储 | 最大160帧,图像回放功能 | ||
3D | 3D显示,MPR显示 | ||
测量 | 距离,面积,周长 | ||
电子扫描 | 显示模式 | B模式,血流模式,PW模式,THE模式,CH-EUS模式,ELST模式 | |
扫描(来源:成贯仪器) | 环形扫描,凸阵扫描 | ||
配套设备 | 电子环扫超声内镜电子凸阵扫描超声内镜 | ||
可用频率 | 5 MHz,6 MHz,7.5 MHz,10 MHz,12 MHz | ||
显示范围 | 2,3,4,5,6,7,8,9,12 cm | ||
图像调节 | 增益,对比度,STC,增强,复合 | ||
显示处理 | 显示区域 | 环形:全圆显示,下半圆显示,上半圆显示,滚动凸阵:扇形 | |
方向 | 正常/倒转 | ||
显示方式 | 单屏/双屏 | ||
图像存储 | 最大可存储600帧 | ||
焦点 | 自动预设 | 近/远 | |
焦点设置 | 焦点位置可调,焦点数量可调 | ||
血流模式 | 彩色血流模式,能量血流模式,H-血流模式 | ||
PW模式 | B+PW,彩色+PW,能量+PW,H-FLOW+PW | ||
测量 | 距离,面积,周长,PW 测量 | ||
THE(组织谐波)模式*1 | THE-P,THE-R | ||
CH-EUS(造影谐波EUS)模式*1 | 显示方式 | CH-B,CH-彩色 | |
预设(CH介质型) | 2类,可调节(中或低) | ||
频率选择 | 2类,可调节(CH-R或CH-P) | ||
TIC分析 | 显示随每个ROI平均亮度时间的变化 | ||
ELST(弹性成像)模式*1 | 增压状态指导 | 应变图,增压条 | |
应变率*2 | 在两个区域里显示应变量和应变率 | ||
记录图像数据 | 数据格式 | 静态图像 | Bmp,Jpeg,3dv |
影像数据*1 | Avi | ||
周边设备 | 键盘 | 带有内置轨迹球,LCD触摸板和LED 背光键 | |
照相和记录装置 | 视频打印机(彩色/单色),DVR | ||
图像处理装置 | 监视器显示选择 | 内镜/超声图像 | |
画中画 | 在超声图像上以PinP副画面显示内镜图像。 | ||
患者数据 | 与图像处理装置共享患者数据 | ||
*1仅适用于EU-ME2 PREMIER PLUS,*2不适用于有些地区