


021-54286005
EVIS LUCERA ELITE电子结肠镜
高清图像质量强调光学放大的性能
主要特点
高清图像
凭借其OLYMPUS光学元件,CF-HQ290ZL/CF-HQ290Zi可产生清晰的高分辨率高清图像。此外,连接到EVIS LUCERA ELITE系统的内窥镜的性能实现了内窥镜图像的降噪。
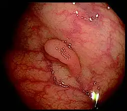
80x 光学放大
该电子结肠镜将图像放大80x*,其高清图像质量清晰地获得粘膜表面的近距离视图。结合更亮的NBI(窄带成像),粘膜组织和毛细血管网络得到增强,进一步支持详细观察。
*使用高清液晶显示器OEV262H时
白光 使用NBI进行光学80x放大
宽视角
现在可以实现170°广角视野。这可以帮助医生更快速地检测粘膜变化,同时减少对角度的需求。
RIT(响应式插入技术)
RIT结合了三种专有的插入管技术:PB(被动弯曲),HFT(高力传动)和可变刚度。这些技术旨在通过改进范围处理,可插入性和人体工程学来促进完整的结肠镜检查。
PB,帮助EVISLUCERA ELITE 290系列内窥镜通过结肠急性弯曲。
HFT提供改进的操作员控制,用于推动,拉动和扭转操纵。
可变硬度,通过简单地转动内窥镜控制部分上的调节环,医生可以根据需要调整OLYMPUS内窥镜的刚性。
产品规格
光学系统 | 视野 | 正常模式时:170˚ 近焦模式时:90˚ |
| 视图方向 | 直视 | |
| 景深 | 正常模式时:7 - 100mm 近焦模式时:2 - 3mm | |
插入部分 | 远端外径 | 13.2 mm |
末端放大图
| ||
| 插入管外径 | 12.8 mm | |
| 工作长度 | CF-HQ290ZL:1680 mm CF-HQ290Zi:1330 mm | |
器械通道 | 通道内径 | 3.7 mm |
| 最小可见距离 | 距离远端3.0 mm | |
内治疗配件进入和退出内窥镜图像的方向
| ||
喷水通道 | 水射流进入内窥镜图像的方向
| |
弯曲部分 | 角度范围 | 上180/下180/右160°/左160° |
总长度 | CF-HQ290ZL:2005 mm CF-HQ290Zi:1655 mm | |
兼容 | EVISLUCERA系统 EVIS LUCERA ELITE图像处理装置OLYMPUS CV-290 EVIS LUCERA ELITE冷光源OLYMPUS CLV-290SL,CLV-290 | |